

近日,青岛市即墨区中医医院脾胃病科接诊一例紧急食管异物嵌顿患者。71岁老先生食用鲍鱼时因未嚼烂,食物卡堵食道,连饮水都无法正常下咽,家属紧急连夜送医。
急诊检查提示患者食管扩张、管壁增厚,情况危急。脾胃病科主任纪琳琳当即联动内镜室,快速启动急诊内镜取异物预案,医护团队半小时内集结到位。凭借精湛娴熟的胃镜操作技术,顺利将嵌顿的鲍鱼取出。

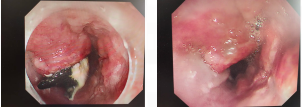
左图:卡住异物 右图:明显展露食管肿瘤
而在救治过程中,一个更为凶险的隐患被及时发现:胃镜下明确显示患者为进展期食管肿瘤,这正是导致食物易卡顿的根本病因。老人平日并无明显梗阻不适,若不是此次意外卡喉,隐匿的肿瘤极难被及早察觉。
一场紧急异物取出术,意外揪出致命病灶,为后续规范治疗赢得了宝贵时机,也为大众健康敲响警钟。
PART.01
胃镜检查是消化道健康的“早筛利器”
很多人认为,没有不适就无需做胃镜检查。但事实上,食管癌、胃癌等消化道肿瘤在早期往往“悄无声息”,缺乏典型症状,一旦出现吞咽困难、腹痛、消瘦等明显表现,往往已发展至中晚期,治疗难度大幅增加。而胃镜检查作为消化道疾病诊断的“金标准”,能够直接观察食管、胃、十二指肠的黏膜状态,精准发现早期微小病变,甚至可通过活检明确病变性质,是实现消化道肿瘤早诊早治的关键手段。
PART.02
脾胃病科
青岛市即墨区中医医院脾胃病科(消化内科)作为医院的重点科室,始终以中西医结合为特色,构建了完善的诊疗体系。科室针对慢性胃炎、消化道溃疡、食道炎、肝硬化等各类胃肠道疾病,采用内服汤剂、中成药,配合穴贴、针刺、耳穴压丸、温灸等多种中医特色疗法,辨证施治、多途径给药;对于急性上消化道大出血等急症,采用药物联合胃镜下止血的方式,抢救成功率高。
中医特色疗法


1.2图 胃镜下止血 3图 胃镜下碎石 4图 胃镜下取异物
同时,科室拥有独立的内镜中心,配备4台日本进口电子胃肠镜,可开展普通及无痛胃肠镜检查,以及胃镜下息肉切除、止血、胃石碎石等微创治疗;还配备碳13、碳14呼气试验仪,精准检测幽门螺旋杆菌,为消化道疾病的筛查与治疗提供全面技术支撑。
技术支撑

科室人才梯队雄厚,现有高级职称医师6名、硕士研究生学历医师5名,医护团队均经省内外知名医院进修培训,专业能力过硬。
温馨提示
健康无小事,早筛早诊是关键。即墨区中医医院脾胃病科提醒广大市民,尤其是40岁以上人群、有消化道肿瘤家族史、长期吸烟饮酒、存在幽门螺旋杆菌感染等高危因素者,务必重视胃镜检查,定期筛查,将消化道疾病扼杀在萌芽状态。
如需咨询或预约,可关注“青岛市即墨区中医医院”微信公众号,或前往医院脾胃病科门诊就诊,让专业的医护团队为您的消化道健康保驾护航。
病区电话:0532-88555972
PART.03专家简介

吴湘华 主任医师
从事临床工作30余年,多次前往青岛中心医院、青岛大学附属医院、山东省立医院、上海长海医院进修学习。
开展胃镜工作近30年,能够熟练操作胃镜,进行胃镜下治疗。擅长对消化道出血、慢性胃炎、胃溃疡、十二指肠溃疡、食管炎、胆囊炎、各种肝病等消化系统疾病的诊断及治疗。

纪琳琳 副主任医师
毕业于第二军医大学南京军医学院,从事临床工作20余年,曾在上海长海医院、北京地坛医院、青大附院、齐鲁医院(青岛)进修学习。
擅长胃炎、消化性溃疡、反流性食管炎、肠炎、便秘、肝炎、肝硬化、胆囊炎、胆结石、胰腺炎、功能性消化不良的诊治,胃肠镜检查及内镜下治疗等。